We provide objective orthopedic expert witness services for malpractice cases, delivering experienced opinions for reviews, depositions, and trial testimony.

Resources

Resources

Orthopedic Insights

Dr. Beattie is an expert in orthopedics. 

Reverse shoulder arthroplasty
Mar 24, 2026

Reverse shoulder arthroplasty

Orthopedic trauma is incredibly common affecting multiple different bones, soft tissues and bodily systems. As a result...

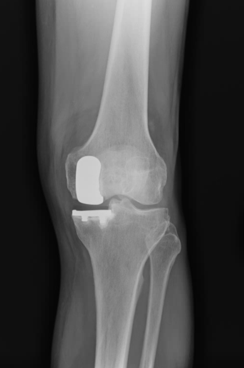
Partial Knee Replacement
Mar 24, 2026

Partial Knee Replacement

Orthopedic trauma is incredibly common affecting multiple different bones, soft tissues and bodily systems. As a result...

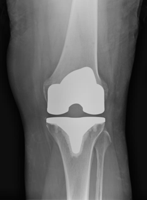
Total Knee Replacement
Mar 24, 2026

Total Knee Replacement

Orthopedic trauma is incredibly common affecting multiple different bones, soft tissues and bodily systems. As a result...

Mar 24, 2026

Hip Fractures

A hip fracture is a break in the upper portion of the femur (thighbone). Most hip fractures occur in elderly patients...

Mar 24, 2026

Ankle Fractures

A broken ankle is also known as an ankle fracture. This means that one or more of the bones that make up the ankle...